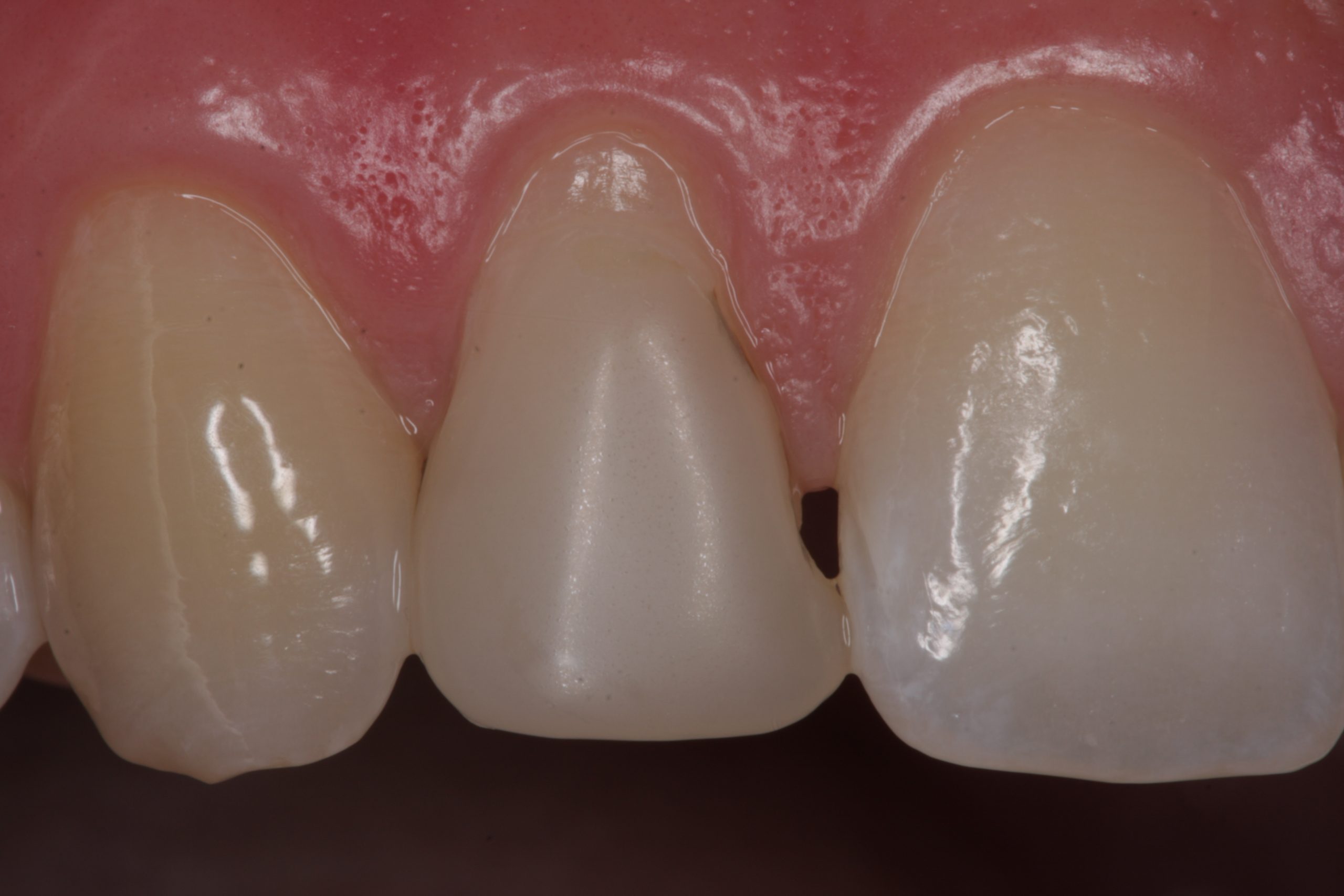
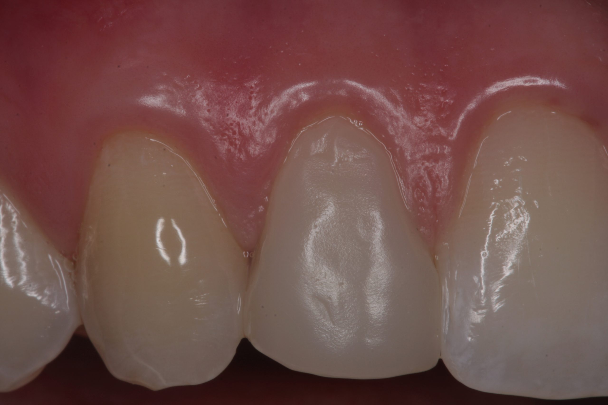
Lukning af mellemrum
Lukning af mellemrum mellem tænderne
Hvis du føler, at mellemrum mellem dine tænder er kosmetisk generende, kan vi nemt lukke dem med bonding. På den måde får du et mere harmonisk og flot smil.




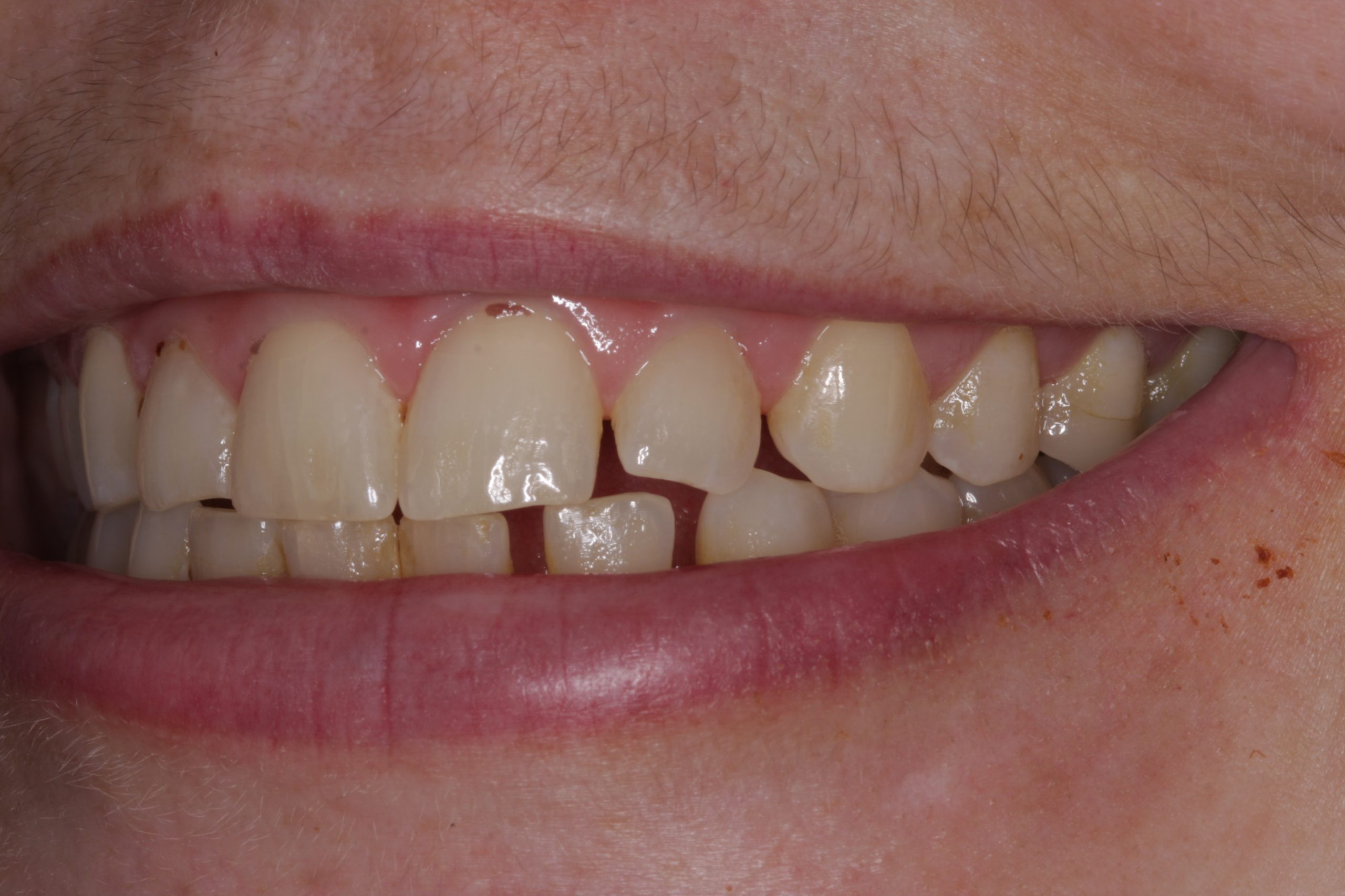
Korrigering af små eller smalle tænder
Er dine tænder små eller smalle, kan vi forme dem med bonding via facader eller plastopbygninger, så de passer bedre sammen og ser bedre proportionerede ud. Det kan give dit smil et helt nyt udtryk.


